MEDizzy
MEDizzy
d
drbusraabout 1 year ago
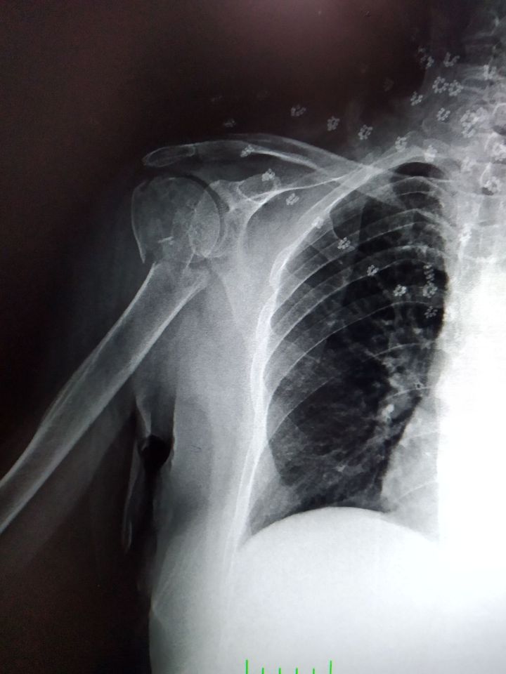
collum chirurgicum fraktur

collum chirurgicum fraktur

67 years-old woman with a history of osteoporosis. She fell toward on her hand. Potential damage to axillary nerve and posterior circumflex humeral arter may occur due to fracture at surgical neck.

16
Other commentsSign in to post comments. You don't have an account? Sign up now!

Recent MCQs















Show more MCQs

Recent flashcard sets















Show more flashcards