Feed
Library
Learning
Discuss
Leaderboard
Journal
Sign in
Login
Sign up
Sign in
Feed
Library
Learning
Discuss
Leaderboard
Journal
d
drbusra
about 1 year ago
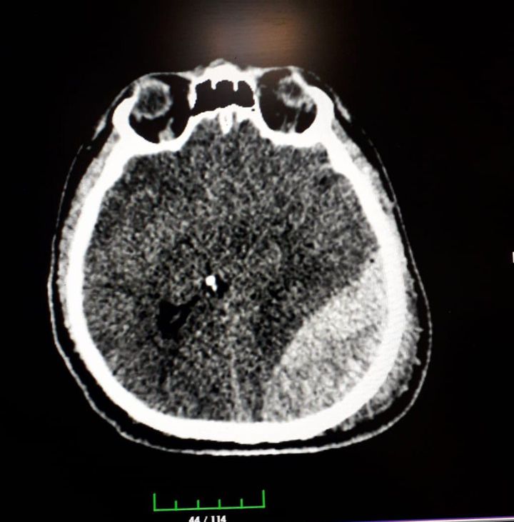
Epidural hematoma
32 years-old man patients. Epidural hematoma due to motorcycle accident.
Surgery
Treatment
Trauma
Accident
23
0
12
Other comments
Sign in
to post comments. You don't have an account?
Sign up now!
Related posts
Traumatic ulcer
Patent Ductus Arteriosus- Treatment
Surgical process for apicoectomy
Surgical process for apicoectomy
Surgical process for apicoectomy
Condylectomy
Epidermolysis Bullosa-Treatment
Tmj ankylosis grading
Condylectomy
Acromegaly - Treatment
Recent MCQs
Show more MCQs
Recent flashcard sets
Show more flashcards
Feed
Learn
Add
Search
Discuss