MEDizzy
MEDizzy
d
drbusra5 months ago
Acute appendicitis

Acute appendicitis

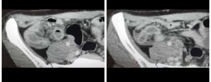
37 years old woman presented to the emergency department with abdominal pain and vomiting. Physical examination revealed McBurney Point Tenderness and Rovsing sign. BT in appendix size 10.5 mm and periapendicular fluid

14
Other commentsSign in to post comments. You don't have an account? Sign up now!

Recent MCQs















Show more MCQs

Recent flashcard sets















Show more flashcards