Feed
Library
Learning
Discuss
Leaderboard
Journal
Sign in
Login
Sign up
Sign in
Feed
Library
Learning
Discuss
Leaderboard
Journal
Dr Vijay Sharma
about 6 years ago
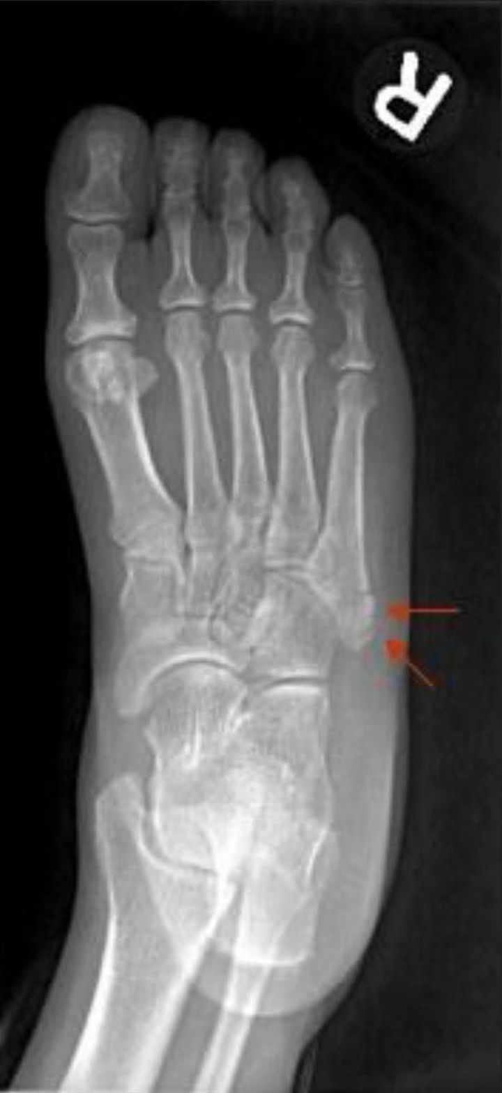
Zone 1 (pseudo Jones fx) ▪️Proximal tubercle (rarely enters 5th tarsometatarsal joint) ▪️Due to long plantar ligament, lateral band of the plantar fascia, or contraction of the peroneus brevis ▪️Nonunions uncommon
Medicine
Surgery
Medstudent
Medicalstudent
Orthopaedics
show 2 more
15
1
3
Top rated comment
DrSatyanarayan Kanchari
about 6 years ago
# 5th metatarsal
0
Reply
Other comments
Sign in
to post comments. You don't have an account?
Sign up now!
Related posts
Causes of lump in armpit
Lipoma
Neurofibromatosis
External nose bones
Surgical process for apicoectomy
Surgical process for apicoectomy
Surgical process for apicoectomy
Condylectomy
Tmj ankylosis grading
Condylectomy
Recent MCQs
Show more MCQs
Recent flashcard sets
Show more flashcards
Feed
Learn
Add
Search
Discuss