
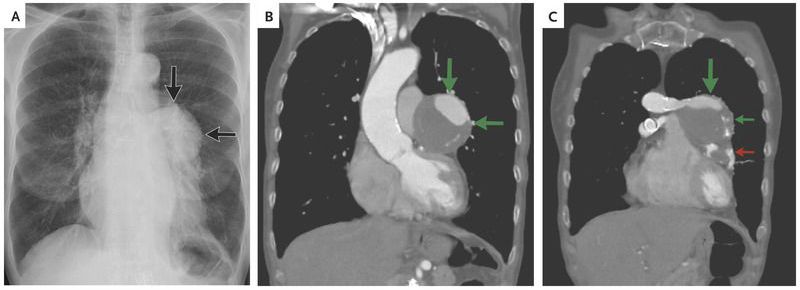
A 78-year-old woman who had undergone coronary-artery bypass graft surgery 30 years earlier and had a smoking history of 54 pack-years presented to the emergency department with shortness of breath and fatigue. The troponin level was within the normal range. There was no evidence of ischemic changes on electrocardiography. Radiography of the chest revealed a mediastinal, hilar mass lesion on the left side (Panel A, arrows). Computed tomographic angiography of the chest revealed two partially thrombosed aneurysms of the saphenous-vein grafts. The larger aneurysm arose from the superior graft that was anastomosed to the left anterior descending coronary artery (Panel B, arrows; Panel C, green arrows), and the smaller aneurysm arose from the inferior graft, which was anastomosed to the diagonal artery (Panel C, red arrow). In view of the risks of undergoing surgery again and the absence of angina, the patient continued to pursue a conservative course and the symptoms at presentation resolved. The patient was lost to follow-up.