
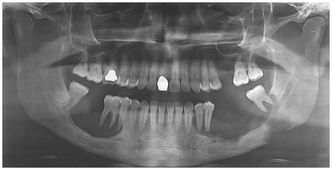
A 36-year-old man presented with a 1-year history of oral pain and loose teeth; four teeth had been lost spontaneously within the 6 months before presentation. Increased thirst and urination also developed within 4 months before presentation. Blood electrolyte levels revealed hypernatremia and dehydration. A panoramic radiograph showed two radiolucent scooped-out lesions of the mandible with “floating tooth” images. Biopsy of the mandibular lesion on the left side revealed sheets of inflammatory-cell proliferation and S100+ CD1a+ Langerhans’ cells. Magnetic resonance imaging of the brain revealed an increased T1-weighted signal in the posterior pituitary and thickening of the infundibulum Multiorgan Langerhans’-cell histiocytosis with diabetes insipidus was diagnosed. Langerhans’-cell histiocytosis is a clonal proliferation of Langerhans’ cells. Oral lesions are estimated to occur in 10 to 15% of patients. This patient was treated with curettage and desmopressin. The patient had no recurrence 6 months after surgery.