
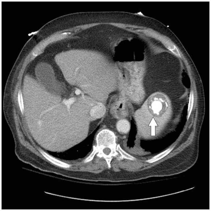
An 86-year-old man in Minnesota presented with fever, dyspnea, and new-onset confusion. His physical examination was unremarkable. His medical history was notable for a self-limiting febrile illness with night sweats and a weight loss of 23 kg (50 lb) that had occurred while he was in his late 20s and working in an abattoir slaughtering pigs. Computed tomography of the abdomen and pelvis revealed a coarsely calcified, circumscribed structure in the spleen that measured 4.5 cm by 4.2 cm by 2.8 cm (arrow). Blood cultures were positive for Brucella suis. Given the patient’s clinical history and positive laboratory findings, this lesion was consistent with splenic brucellosis. The patient was treated with a combination of doxycycline, rifampin, and trimethoprim–sulfamethoxazole and had a good recovery over a period of 10 days. We suspect that this was a case of reactivation of previous brucellosis. Lifelong antimicrobial suppression with doxycycline is planned in order to prevent recurrence.
With long term doxycycline treatment for disease suppression, would one be concerned for C. Diff manifestation?