MEDizzy
MEDizzy
Dr Vijay Sharma
Dr Vijay Sharma about 6 years ago
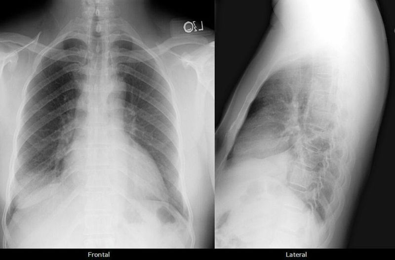
Right lower lobe consolidation, Cardiomegaly

Findings:

A right lower lobe infiltrate usually silhouettes out the right hemidiaphragm on frontal and/or lateral views.
A positive lateral spine sign (density to lower thoracic spine) is also usually evident.

Right lower lobe consolidation, Cardiomegaly Findings: A right lower lobe infiltrate usually silhouettes out the right hemidiaphragm on frontal and/or lateral views. A positive lateral spine sign (density to lower thoracic spine) is also usually evident.

6
Other commentsSign in to post comments. You don't have an account? Sign up now!

Recent MCQs















Show more MCQs

Recent flashcard sets















Show more flashcards