
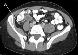
This CT scan(Arrow.A) shows an inflammed appendix without perforation of A 34-year-old woman presented with nausea, vomiting, constipation, and periumbilical pain that settles in the lower right quadrant. On physical exam, she had tenderness and guarding in the lower right quadrant. Treatment map is cefoxitin in case if possibility for perforation exists, and the definitive treatment would be appendectomy.