
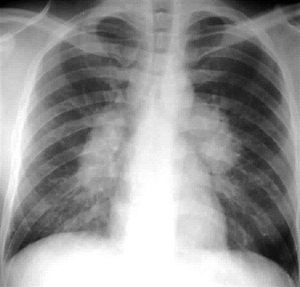
Sarcoidosis is an idiopathic condition characterized by granulomatosus inflammation of multiple organs. Most commonly affected organ is lungs, other organs can also be involved such as liver, spleen, bone, and heart. About 50% of the cases having the disease are asymptomatic, in symptomatic cases the symptoms are cough, fever, arthritis, erythema nodosum, lymphadenopathy, uveitis, interstitial fibrosis, and facial rash. Sarcoidosis may extend to the nervous system involving the optic nerve most commonly followed by trigeminal nerve and lastly the facial nerve, symptoms of neourosarcoidosis are non localizable such as headache, tirdness, weakness, and nausea. This X-Ray is diagnostic for sarcoidosis as it shows the involved lungs with Bilateral hilar lymphadenopathy. Treatment could be by observation as remission could occur over a period of two years, or pharmacologic by using corticosteroids or TNF Inhibitors.