
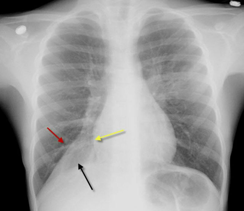
CXR shows Right Lower Lobe (RLL) Atelectasis In this graphy there is a triangular or wedge-shaped density at the right lung base medially (black arrow) that displaces the major fissure inferiorly (red arrow), obscures the right hemidiaphragm and maintains the shadow of the right heart border (yellow arrow).