MEDizzy
MEDizzy
Dr Vijay Sharma
Dr Vijay Sharma over 6 years ago
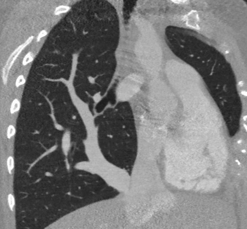
What is your diagnosis

What is your diagnosis

29
Top rated comment
over 6 years ago

Can u tell us please?

Other commentsSign in to post comments. You don't have an account? Sign up now!
over 6 years ago

Pneumothorax?

over 6 years ago

Pneumothorax and the treatment would be a needle thoracotomy.

over 6 years ago

Tension Pneumothorax?

over 6 years ago

Pnemothorax???

over 6 years ago

Mediastinal shift with right aberrant artery

over 6 years ago

Atelectasia??

over 6 years ago

Pneumothorax

Recent MCQs















Show more MCQs

Recent flashcard sets















Show more flashcards