MEDizzy
MEDizzy
Dr Vijay Sharma
Dr Vijay Sharma over 6 years ago
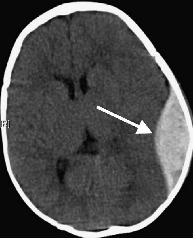
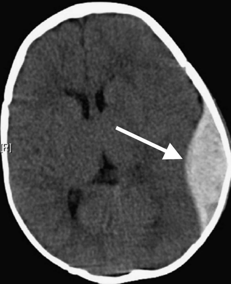
What is your due diagnostics

What is your due diagnostics

38
Top rated comment
over 6 years ago

Epidural hematoma

Other commentsSign in to post comments. You don't have an account? Sign up now!
over 6 years ago

Epidural hematoma

over 6 years ago

Epidural hematoma

over 6 years ago

Epidural hematoma

over 6 years ago

I think on CT epidural hematoma is biconvex shaped but subdural hematoma is crescent shaped

over 6 years ago

How do you know the diference between subdural and epidural hematoma?

over 6 years ago

Epidural hematoma

over 6 years ago

Epidural hematoma

over 6 years ago

Epidural hematoma

over 6 years ago

Heamatoma

Recent MCQs















Show more MCQs

Recent flashcard sets















Show more flashcards