Feed
Library
Learning
Discuss
Leaderboard
Journal
Sign in
Login
Sign up
Sign in
Feed
Library
Learning
Discuss
Leaderboard
Journal
Dr Vijay Sharma
over 6 years ago
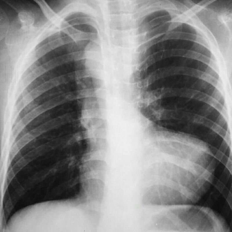
Diagnosis please
Medicine
Surgery
Mbbs
Medlife
Cardiology
show 3 more
13
1
3
Top rated comment
FN
Farsana Nazreen
over 6 years ago
TOF
0
Reply
Other comments
Sign in
to post comments. You don't have an account?
Sign up now!
Related posts
Supraventricular Tachycardia
Supraventricular tachycardia- Diagnosis
Patent Ductus Arteriosus- Symptoms
Atrial Septal Defect- Diagnosis
Surgical process for apicoectomy
Surgical process for apicoectomy
Surgical process for apicoectomy
Condylectomy
Tmj ankylosis grading
Condylectomy
Recent MCQs
Show more MCQs
Recent flashcard sets
Show more flashcards
Feed
Learn
Add
Search
Discuss