MEDizzy
MEDizzy
Sean Owen
Sean Owenover 6 years ago
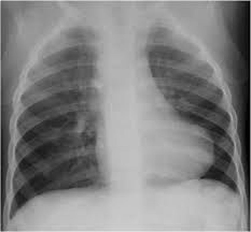
Pediatric Chest x ray

Pediatric Chest x ray

A child was brought in with complaints of chest pains, an x ray was done as shown above

14
Top rated comment
over 6 years ago

TOF? ( Boot shaped heart)

over 6 years ago

How can you manage it

Other commentsSign in to post comments. You don't have an account? Sign up now!
over 6 years ago

TOF and BNS

What are these TOF. AND BNS mean please im no dr just a nurse but love this app

over 6 years ago

TOF

over 6 years ago

Tetralogy of Fallot

over 6 years ago

RVE? cardiomegaly- Apex outward

Recent MCQs















Show more MCQs

Recent flashcard sets















Show more flashcards