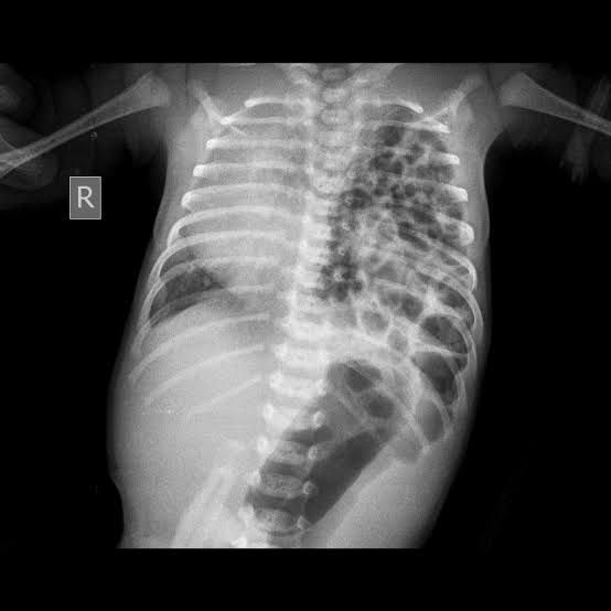
.Mostly in lt side .In CXR : gas filled loops that push heart towrda rt side . Umbo bag may worse the condition .Ttt: ETT + surgical intervention