MEDizzy
MEDizzy
Top rated comment
over 6 years ago

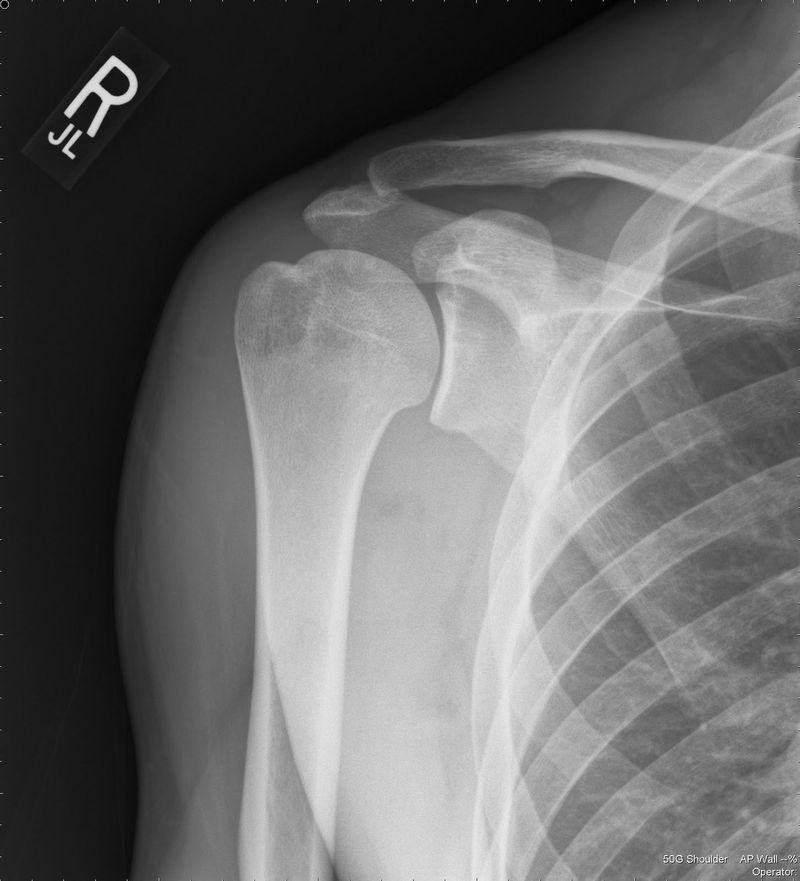
Nrml SJ

Other commentsSign in to post comments. You don't have an account? Sign up now!
over 6 years ago

Винтообразный перелом с вывихом.

over 6 years ago

Normal shoulder joint

over 6 years ago

It's normal, isn't it?

over 6 years ago

Appears normal

over 6 years ago

Lateral veiw might help. Looks normal but i think there is a posterior dislocation as arm is internally rotated

about 6 years ago

Seems like posterior dislocation of shoulder joint

Recent MCQs















Show more MCQs

Recent flashcard sets















Show more flashcards