MEDizzy
MEDizzy
Aniket Ranjan
Aniket Ranjan over 6 years ago
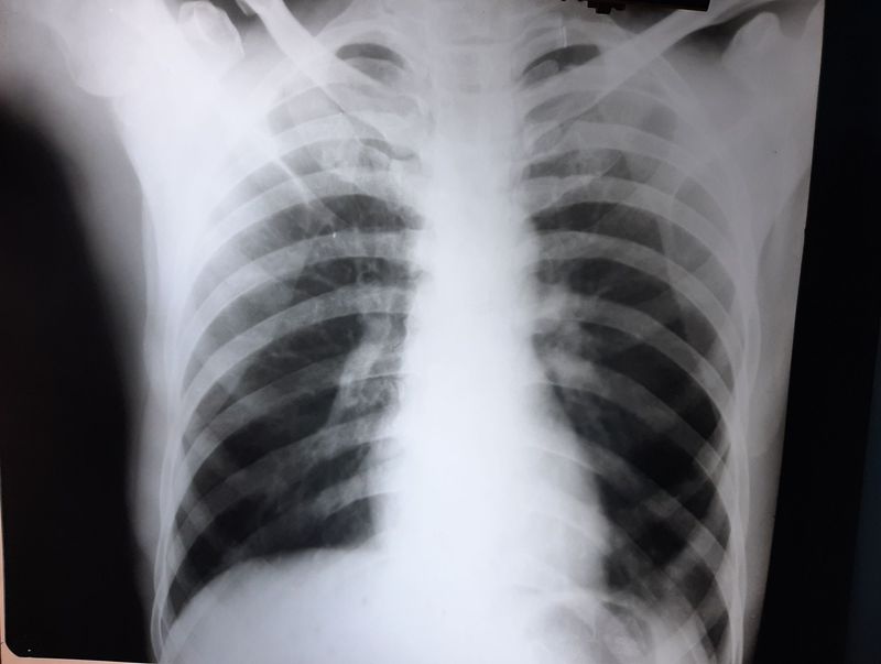
Chest x ray

Chest x ray

35 yr old male having complain of hemoptysis since 15 days,mild fever seen. Hx of smoking.

21
Top rated comment
over 6 years ago

Mediastinitis

Other commentsSign in to post comments. You don't have an account? Sign up now!

Recent MCQs















Show more MCQs

Recent flashcard sets















Show more flashcards