
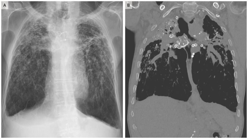
A 76-year-old man presented to the pulmonary clinic with a 6-month history of progressively worsening dyspnea and productive cough. The patient had never smoked; 40 years earlier, he had worked as a sandblaster for 7 years. Physical examination was notable for diminished breath sounds and diffuse inspiratory rhonchi. Findings on radiography (Panel A) and computed tomography (Panel B) of the chest included numerous calcified nodules, eggshell calcifications, and coalescence of apical opacities and larger lesions characteristic of progressive massive fibrosis with upper-lobe volume loss. A diagnosis of chronic silicosis with progressive massive fibrosis was made. Chronic silicosis may develop many years after the inhalation of respirable crystalline silica and is associated with a range of occupations, including mining, foundry work, cement and concrete production, sandblasting, masonry, and ceramic production. Nodules typically occur in the upper zones of the lung. There are no specific therapies for chronic silicosis, except for avoidance of silica in the environment. During 3 years of follow-up, the patient had progression of dyspnea with decreasing exercise tolerance.
Living with Pulmonary Fibrosis (PF) was one of the hardest experiences of my life. The breathlessness, the fatigue, and the fear of the future weighed on me every single day. I had tried so many treatments and medications, but nothing seemed to stop the disease from progressing.Out of both hope and desperation, I came across NaturePath Herbal Clinic. At first, I was skeptical but something about their natural approach and the stories I read gave me the courage to try one more time.I began their herbal treatment program, and within a few weeks, I noticed small changes easier breathing, more energy, and a clearer mind. Over themonths, those improvements became more and more obvious. Today, I can truly say my life has changed. My lungs feel stronger, and my quality of life has returned in ways I didn’t think were possible.This isn’t just a testimony it’s a heartfelt recommendation to anyone struggling with PF or other chronic conditions. Don’t give up hope. I’m so grateful I gave NaturePath Herbal Clinic a chance. Visit their website to learn more: www.naturepathherbalclinic.com info@naturepathherbalclinic.com