
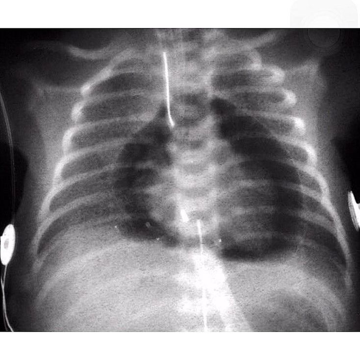
Chest radiograph shows air outlining the heart, a condition known as Pneumopericardium.The air is found within the pericardial cavity. In adults, it may be seen in the context with severe blunt chest trauma, pneumothorax, pneumoperitoneum, thoracic surgery / pericardial fluid drainage, or infectious peticarditis with gas-producing organisms.It's a serious complication, which if untreated may lead to cardiac tamponade and death. A pneumopericardium can be distinguished from pneumomediastinum, since air in the pericardial sac should not rise above the anatomic limits of the pericardial reflection on the proximal great vascular pedicle.