Feed
Library
Learning
Discuss
Leaderboard
Journal
Sign in
Login
Sign up
Sign in
Feed
Library
Learning
Discuss
Leaderboard
Journal
Medicaltalks
almost 8 years ago
#NSFW
Sensitive content 18+
This material contains content which some users might find distrubing
Sign up to unlock
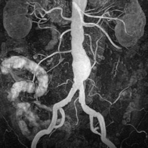
Abdominal aortic aneurysm (enlarged area in the lower part of the aorta) seen by MRI
Sensitive
Cardiology
Radiology
Mri
Aorta
show 2 more
10
0
5
Other comments
Sign in
to post comments. You don't have an account?
Sign up now!
Related posts
Effects of sugar on teeth
Coarctation of Aorta
Coarctation of Aorta
Hypertension
Premature Ventricular Complexes (PVCs)
Tachycardia
Supraventricular Tachycardia
Supraventricular tachycardia- Diagnosis
Patent Ductus Arteriosus- Symptoms
Atrial Septal Defect- Diagnosis
Recent MCQs
Show more MCQs
Recent flashcard sets
Show more flashcards
Feed
Learn
Add
Search
Discuss