MEDizzy
MEDizzy
Joshua Paul
Joshua Paul almost 8 years ago
Dx?

Dx?

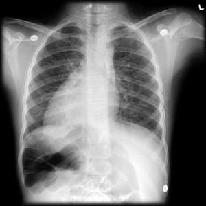
PA view. Whats the diagnosis?

6
Top rated comment
almost 8 years ago

Situs inversus with dextro cardia

almost 8 years ago

Exactly 😁

Other commentsSign in to post comments. You don't have an account? Sign up now!
almost 8 years ago

Dextrocardia

almost 8 years ago

This called dextrocardia

almost 8 years ago

Dextrocardia

Recent MCQs















Show more MCQs

Recent flashcard sets















Show more flashcards