MEDizzy
MEDizzy
Medicaltalks
Medicaltalks about 8 years ago
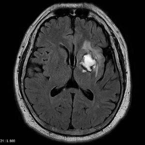
Subacute hemorrhagic stroke MRI
#NSFWSensitive content 18+
This material contains content which some users might find distrubing

Subacute hemorrhagic stroke MRI

Brain MRI of a patient suffering from subacute hemorrhagic stroke. It results from a weakened vessel that ruptures and bleeds into the surrounding brain. The blood accumulates and compresses the surrounding brain tissue.

1
Other commentsSign in to post comments. You don't have an account? Sign up now!

Recent MCQs















Show more MCQs

Recent flashcard sets















Show more flashcards