Feed
Library
Learning
Discuss
Leaderboard
Journal
Sign in
Login
Sign up
Sign in
Feed
Library
Learning
Discuss
Leaderboard
Journal
Medicaltalks
about 8 years ago
#NSFW
Sensitive content 18+
This material contains content which some users might find distrubing
Sign up to unlock
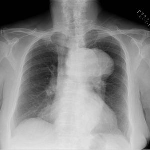
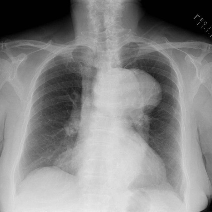
Aortic arch aneurysm
X-Ray showing Massively enlarged transverse aortic arch aneurysm in a 76 y/o woman.
Sensitive
Cardiology
Heart
Radiology
Xray
show 3 more
9
0
6
Other comments
Sign in
to post comments. You don't have an account?
Sign up now!
Related posts
Coarctation of Aorta
Chest X-Rays
Hypertension
Premature Ventricular Complexes (PVCs)
Tachycardia
Supraventricular Tachycardia
Supraventricular tachycardia- Diagnosis
Patent Ductus Arteriosus- Symptoms
Atrial Septal Defect- Diagnosis
Recent MCQs
Show more MCQs
Recent flashcard sets
Show more flashcards
Feed
Learn
Add
Search
Discuss