
#NSFWSensitive content 18+
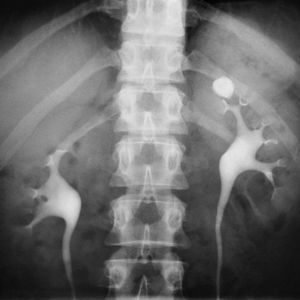
This material contains content which some users might find distrubingX-Ray examination showing kidney stone in the Left kidney
The major calyx, renal pyramids, and ureters are well seen by using a contract medium administered intravenously.