MEDizzy
MEDizzy
Medicaltalks
Medicaltalks about 8 years ago
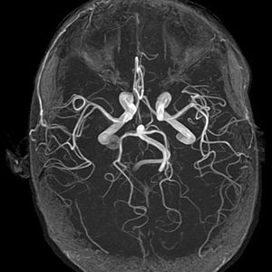
Circle of Willis MRA
#NSFWSensitive content 18+
This material contains content which some users might find distrubing

Circle of Willis MRA

MRA (Magnetic Resonance Angiography) of the Circle of Willis - anastomotic system of arteries that sits at the base of the brain.

1
Other commentsSign in to post comments. You don't have an account? Sign up now!

Recent MCQs















Show more MCQs

Recent flashcard sets















Show more flashcards