MEDizzy
MEDizzy
Murad
Muradover 6 years ago
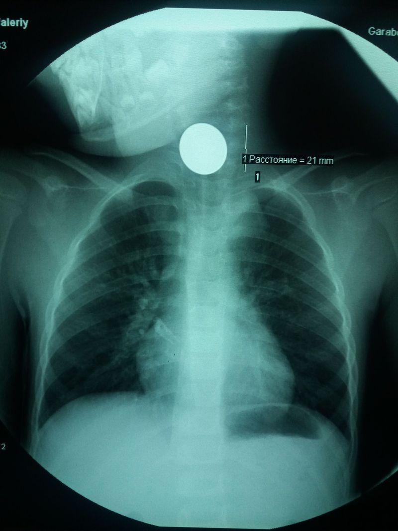
Foreign body

Foreign body

19
Top rated comment
over 6 years ago

Most probably a Coin

over 6 years ago

Also need a lateral view to confirm the coin is not outside the body😊😊

Other commentsSign in to post comments. You don't have an account? Sign up now!
over 6 years ago

A wafer? Or Silver Dollar coin

Recent MCQs

‌
‌

‌
‌

‌
‌

‌
‌

‌
‌
Show more MCQs

Recent flashcard sets

‌
‌

‌
‌

‌
‌

‌
‌

‌
‌
Show more flashcards