Feed
Library
Learning
Discuss
Leaderboard
Journal
Sign in
Login
Sign up
Sign in
Feed
Library
Learning
Discuss
Leaderboard
Journal
Medicaltalks
over 8 years ago
#NSFW
Sensitive content 18+
This material contains content which some users might find distrubing
Sign up to unlock
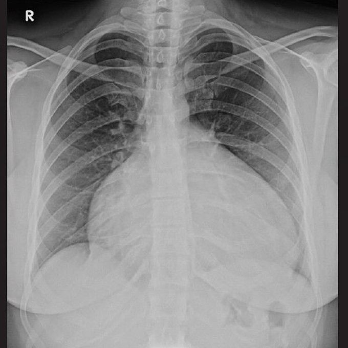
Cardiomegaly
X-Ray of a cheat showing a cardiomegaly. Look at the size of that heart !!!
Sensitive
Cardiology
Heart
Radiology
Xray
show 1 more
4
0
5
Other comments
Sign in
to post comments. You don't have an account?
Sign up now!
Related posts
Chest X-Rays
Hypertension
Premature Ventricular Complexes (PVCs)
Tachycardia
Supraventricular Tachycardia
Supraventricular tachycardia- Diagnosis
Patent Ductus Arteriosus- Symptoms
Atrial Septal Defect- Diagnosis
https://www.facebook.com/AspenDoseCBDGummiesPage/
Recent MCQs
Show more MCQs
Recent flashcard sets
Show more flashcards
Feed
Learn
Add
Search
Discuss