
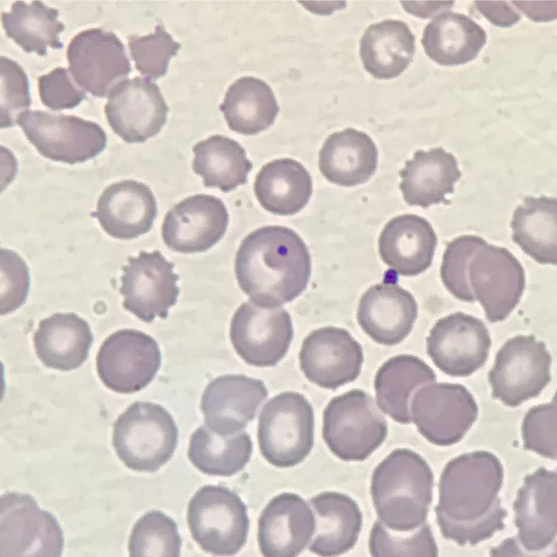
A Howell–Jolly body is a cytopathological finding of basophilic nuclear remnants (clusters of DNA) in circulating erythrocytes. During maturation in the bone marrow, late erythroblasts normally expel their nuclei; but, in some cases, a small portion of DNA remains. Its presence usually signifies a damaged or absent spleen, because a healthy spleen would normally filter this type of red blood cell.