Feed
Library
Learning
Discuss
Leaderboard
Journal
Sign in
Login
Sign up
Sign in
Feed
Library
Learning
Discuss
Leaderboard
Journal
Muhammed Thasleem k.c
about 1 year ago
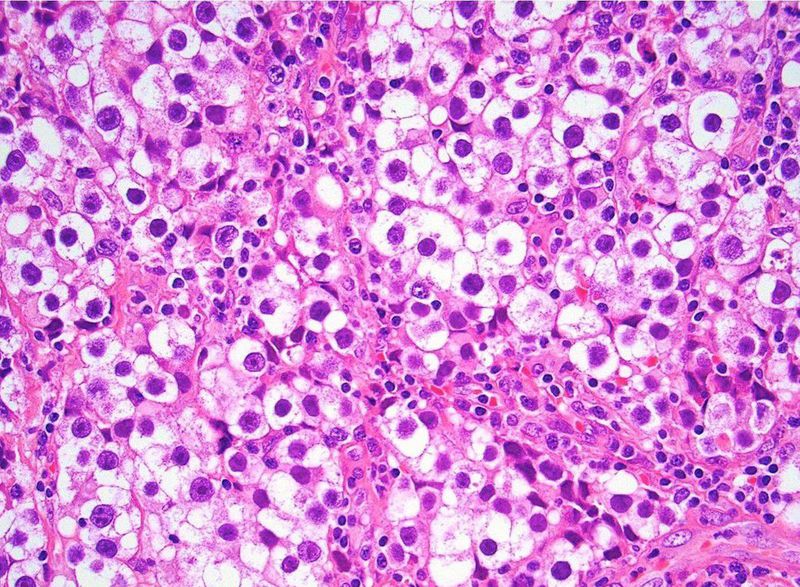
Fried egg appearence
Seminoma has homogenous cells with washed out cytoplasm which give the cells this appearence
Medstudent
Medlife
Medicalstudent
Oncology
Histopathology
show 1 more
22
0
8
Other comments
Sign in
to post comments. You don't have an account?
Sign up now!
Related posts
Dear colleagues you can follow me on LinkedIn.com through this link. https://www.linkedin.com/in/fatemeh-kourkinejad-gharaei
Phineas Gage: A Case Study in Brain Injury and Personality Change
A 70-year-old man presents with difficulty walking, particularly when turning, and a sensation of his feet being "stuck" to the floor. His gait is characterized by hesitation and freezing when initiating steps. Which of the following is most likely to be observed in this patient? A. Spasticity B. Foot drop C.Freezing of gait D. Romberg sign
Best Probiotics For Womens 2025: Are They More Effective?
Symptoms of appendicitis
Effects of sugar on teeth
Hairy cell leukemia
Benign and Malignant Skin Lesions
Recent MCQs
Show more MCQs
Recent flashcard sets
Show more flashcards
Feed
Learn
Add
Search
Discuss