MEDizzy
MEDizzy
Other commentsSign in to post comments. You don't have an account? Sign up now!
almost 8 years ago

Pneumothorax? ?

almost 8 years ago

Pneumothorax

almost 8 years ago

Nice

almost 8 years ago

Pneumothorax

almost 8 years ago

Contrst adjustment is not proper

almost 8 years ago

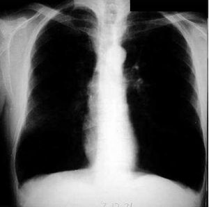
Chest x ray PA view showing hyper translucent both lung field, tubular shaped heart, low flat diaphragm. So my radiological diagnosis is emphysema.

Recent MCQs















Show more MCQs

Recent flashcard sets















Show more flashcards