MEDizzy
MEDizzy
JOHN NELSON
JOHN NELSONover 6 years ago
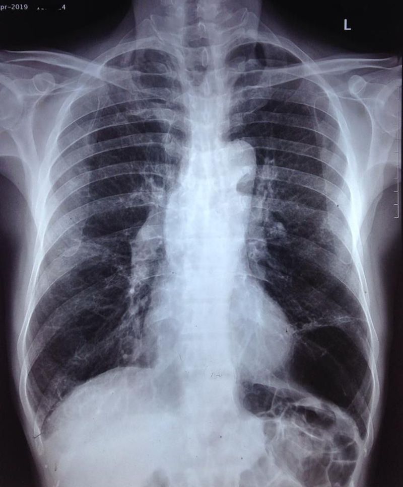
Seeing something 👨🏻‍⚕️👨🏻‍⚕️?

Seeing something 👨🏻‍⚕️👨🏻‍⚕️?

24
Top rated comment
over 6 years ago

A body

over 6 years ago

😅

Other commentsSign in to post comments. You don't have an account? Sign up now!
over 6 years ago

Left lower lobe something?? left horizontl fissure

over 6 years ago

Pneumothorax

over 6 years ago

Pneumothorax in left lower lobe

over 6 years ago

In the stomach?

over 6 years ago

Pneumothorax

over 6 years ago

Barrel chest with Emphysematous bullae in left lower lobe

over 6 years ago

Absolutely right🙌🏻

Recent MCQs















Show more MCQs

Recent flashcard sets















Show more flashcards