MEDizzy
MEDizzy
Hysteroscopy Newsletter
Hysteroscopy Newsletter almost 8 years ago
Hysteroscopy

Hysteroscopy

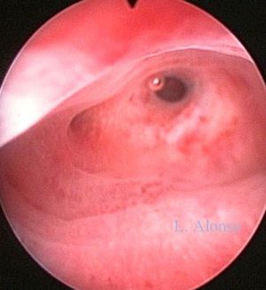
The most common predisposing factors to intrauterine adhesions seems to be curettage of a pregnant or recently pregnant uterus

0
Other commentsSign in to post comments. You don't have an account? Sign up now!

Recent MCQs















Show more MCQs

Recent flashcard sets















Show more flashcards