
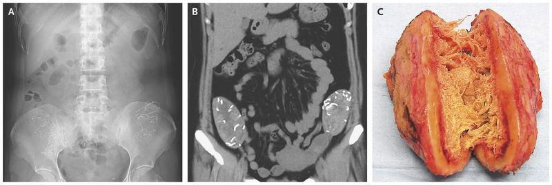
A 42-year-old woman presented to the primary care clinic with a 3-year history of lower abdominal bloating. She had undergone cesarean sections 6 and 9 years earlier. Abdominal palpation revealed nontender masses in the right and left iliac fossae. Abdominal radiographs showed hyperdense, serpiginous, symmetric lesions (Panel A). Computed tomography of the abdomen showed well-defined pelvic masses that contained hyperdense, stringy structures (Panel B). A laparotomy was performed, and two smooth masses were found to be partially adherent to the greater omentum and to the colon; the masses were resected from the paracolic recesses. When the masses were divided in half, gauze sponges encapsulated by thick, fibrous walls (Panel C) and radiopaque barium sulfate strands were observed. A diagnosis of gossypiboma was made. A gossypiboma refers to a foreign object, such as a surgical sponge, left behind in a body cavity after an operation. The use of surgical safety checklists is one method that has been implemented to prevent avoidable complications after surgery through effective communication of the completeness of final sponge and needle counts. The patient recovered uneventfully from the surgery and had complete resolution of the lower abdominal bloating; she was discharged from the hospital 5 days after the surgery.