Feed
Library
Learning
Discuss
Leaderboard
Journal
Sign in
Login
Sign up
Sign in
Feed
Library
Learning
Discuss
Leaderboard
Journal
Nuclear Medicine
over 6 years ago
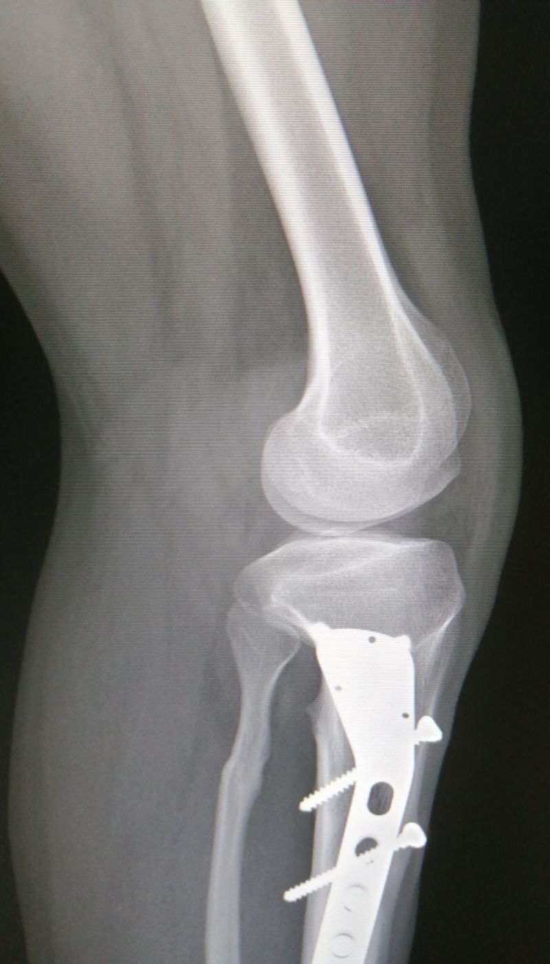
What's wrong with this knee? :)
Xray
Knee
Patella
Found
4
2
1
Top rated comment
Janette
over 6 years ago
Smaller screw needed?😷
0
Reply
Nuclear Medicine
over 6 years ago
It is :D But i thought the patella,
0
Other comments
Sign in
to post comments. You don't have an account?
Sign up now!
Related posts
Identify the Pathology
What do the white spots indicate?
Ehlers-Danlos Syndrome.
Ankle X-ray Anatomy
Lateral Ankle X-ray Anatomy
Pediatric Ankle X-ray Anatomy
Hip X-ray Anatomy
Lateral Hip X-ray Anatomy
Pelvic X-ray Anatomy
Chest X-Rays
Recent MCQs
‌
‌
‌
‌
‌
‌
‌
‌
‌
‌
Show more MCQs
Recent flashcard sets
‌
‌
‌
‌
‌
‌
‌
‌
‌
‌
Show more flashcards
Feed
Learn
Add
Search
Discuss