
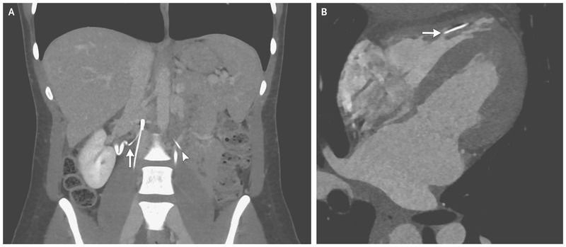
A 28-year-old woman presented to the emergency department with pain in the right flank. Her medical history was notable for nephrolithiasis as well as for deep venous thrombosis and pulmonary embolus that had occurred 10 years earlier and for which she had received an inferior vena cava filter that had not been retrieved. Computed tomography (CT) of the abdomen revealed a fragmented inferior vena cava filter with multiple perforated struts. One strut was approximately 1 mm from the right ureter (Panel A, arrow). Whether this finding was related to the flank pain or was incidental was unclear. Two additional struts had fractured and embolized — one to the left prevertebral space (Panel A, arrowhead) and one to the right ventricle. Cardiac CT angiography revealed that the strut was within the right ventricular trabeculae with no evidence of perforation (Panel B, arrow). The inferior vena cava filter was retrieved with endovascular intervention. The patient’s flank pain resolved with only supportive care before the retrieval of the filter. After consideration of the risks of an intervention to retrieve the struts, a decision was made to leave the embolized struts in place. Fracture of inferior vena cava filters is a potential complication of these devices. At follow-up after the filter retrieval and at 1 year after presentation, the patient was feeling well, and she is being monitored clinically.