Feed
Library
Learning
Discuss
Leaderboard
Journal
Sign in
Login
Sign up
Sign in
Feed
Library
Learning
Discuss
Leaderboard
Journal
PS
Prakash Shrestha
over 6 years ago
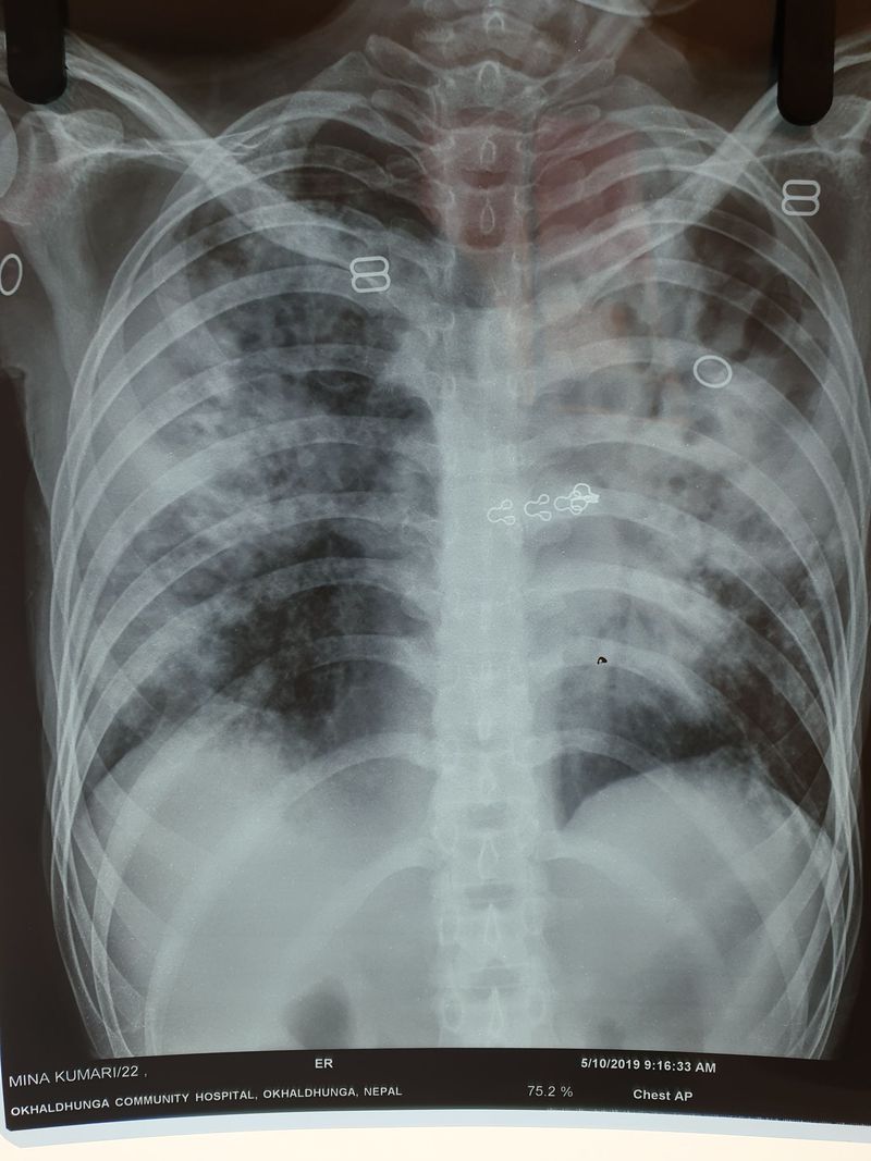
Case study
Medical
Case
Lungs
14
1
6
Top rated comment
Nada Al-Dailami
over 6 years ago
TB , metastasis ??????!!
1
Reply
Other comments
Sign in
to post comments. You don't have an account?
Sign up now!
Related posts
Medical Symptoms I
Doctor Explains: How to PURIFY Smokers Lungs!
Preparation for USMLE
Apical cystectomy
Cellulitis, gangrene
Mandibular deviation following Hemimandibulectomy
Chest X-Rays
Suturing
Acne
Recent MCQs
Show more MCQs
Recent flashcard sets
Show more flashcards
Feed
Learn
Add
Search
Discuss