
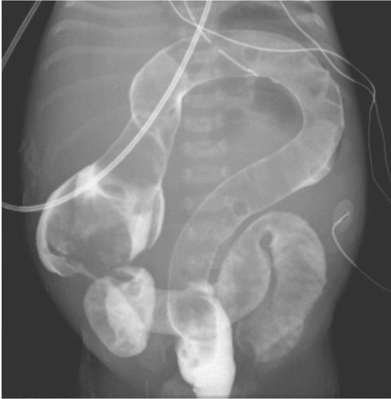
A baby boy born at 39 weeks of gestation to a 28-year-old woman had bilious emesis, failure to pass meconium, and abdominal distention within 24 hours after birth. Abdominal radiography revealed dilated bowel, a finding consistent with a distal obstruction. A water-soluble contrast enema showed a uniformly distended and shortened colon that appeared in the shape of a question mark, a finding consistent with total colonic aganglionosis. A specimen obtained at the bedside by transanal suction rectal biopsy had no ganglion cells found on hematoxylin and eosin staining, a negative result on calretinin staining, and abnormally thickened nerve fibers. These findings confirmed the diagnosis of Hirschsprung’s disease, a congenital absence of enteric ganglion cells resulting in a loss of bowel motility in affected areas. The patient was taken to the operating room, where laparoscopic serial frozen-section biopsy specimens of the entire colon were obtained and no ganglion cells were identified. Abundant ganglion cells were found at the level of the terminal ileum, and an end ileostomy was performed. Six months later, the patient underwent a colectomy with stapled side-to-side anastomosis of the terminal ileum to the rectal remnant (Duhamel procedure). At the postoperative visit, the infant was having five to eight bowel movements daily and was growing well.