Feed
Library
Learning
Discuss
Leaderboard
Journal
Sign in
Login
Sign up
Sign in
Feed
Library
Learning
Discuss
Leaderboard
Journal
medyan abd ulwahab
over 8 years ago
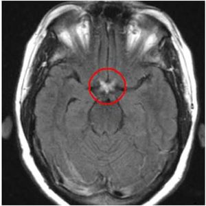
Radiology
Optic
Chiasma
Chiasm
3
0
3
Other comments
Sign in
to post comments. You don't have an account?
Sign up now!
Related posts
Radiology Review II
Radiographs in dentistry
Pubic Rami
Closed Loop
How to Read MRI I
How to Read MRI II
Basic Brainstem Radiology
Spine Radiology I
Spine Radiology II
Recent MCQs
Show more MCQs
Recent flashcard sets
Show more flashcards
Feed
Learn
Add
Search
Discuss