
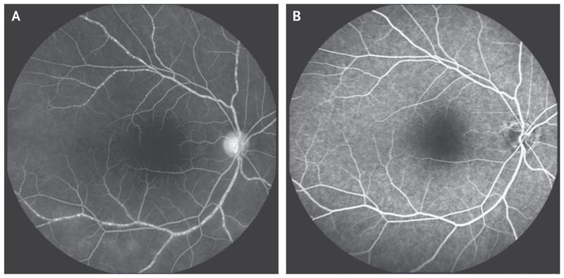
A 25-year-old woman with newly diagnosed Takayasu’s arteritis was referred to the ophthalmology clinic because of a 4-week history of gradual, painless loss of vision in both eyes. Ophthalmologic examination revealed severe impairment, with perception of only light in the right eye and hand motion in the left eye. Slit-lamp examination showed normal anterior segments. Funduscopic evaluation revealed impaired circulation in retinal arteries and veins, and fundus fluorescein angiography showed segmented retinal blood flow (also known as “boxcarring”). Takayasu’s arteritis is a rare, systemic, large-vessel vasculitis. Impairment of vision is associated with involvement of the carotid and vertebral arteries and their branches that leads to decreased perfusion of the eye. The patient underwent percutaneous endovascular stenting of the common carotid and vertebral arteries and initiated treatment with oral glucocorticoids and azathioprine. At follow-up 4 weeks later, repeat fundus fluorescein angiography showed that the retinal blood flow had improved and was no longer segmented . Visual acuity measured 20/400 in the left eye, and perception remained limited to light in the right eye.