
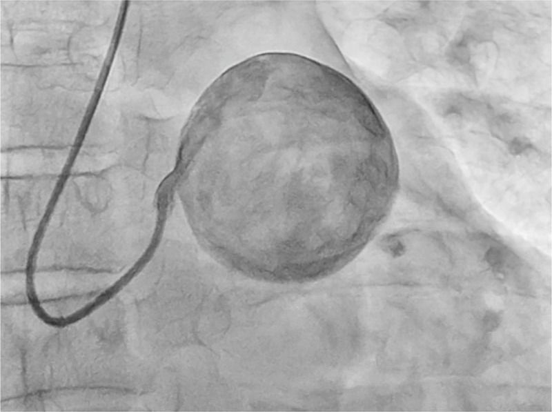
A 49-year-old man with hypertension was referred to our hospital for recurrent angina after receiving recombinant tissue plasminogen activator for acute ST-segment elevation myocardial infarction. His blood pressure was 113/68 mm Hg, and his heart rate was 110 beats per minute. An electrocardiogram showed a right bundle-branch block and ST-segment elevation in the anterolateral leads. The troponin I level was 164 ng per deciliter (normal level, <0.04). Coronary angiography was performed. The left main coronary artery opened into a large spherical cavity — an aneurysm that measured 69 by 53 mm — that filled with contrast material in a swirling fashion, with slow opacification of the left anterior descending and circumflex arteries. Causes of coronary artery aneurysms include atherosclerosis, vasculitides, connective-tissue disorders, congenital defects, infections, and complications of percutaneous coronary intervention. The patient underwent urgent surgery, but the postoperative course was complicated by cardiogenic shock, and he died the day after surgery.