
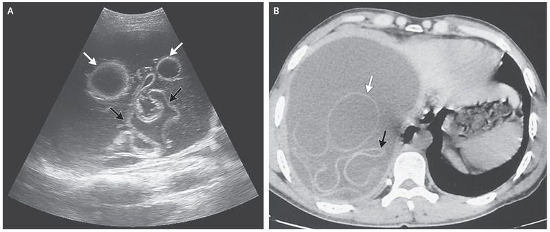
A 30-year-old man presented with a 15-month history of intermittent discomfort in the right upper quadrant of the abdomen. He lived in a rural area of Morocco and had occasional contact with dogs. The physical examination revealed hepatomegaly with a palpable hepatic mass. Laboratory tests showed a normal white-cell count and a normal absolute eosinophil count. Ultrasonography (Panel A) and computed tomography (Panel B) of the abdomen revealed a large cyst in the right lobe of the liver, containing hydatid membranes (black arrows) and daughter vesicles (white arrows). An enzyme-linked immunosorbent assay indicated an anti-echinococcus IgG antibody index of 16.7 in the patient’s blood (normal value, ≤11). Hydatid disease is caused by the echinococcus tapeworm. Dogs are the definitive host; the infection is transmitted when eggs shed in their stool are ingested by humans or other animals. The patient underwent laparotomy, during which the cysts were removed in their entirety with no spillage of their contents. Echinococcus granulosis was detected. A follow-up ultrasound examination 2 months after surgery showed no sign of recurrence.
I was diagnosed as a Hepatitis B carrier in 2015, with early signs of liver fibrosis. At first, antiviral medications helped control the virus but over time, resistance developed, and the effectiveness faded. I began to lose hope. In 2021, I discovered NaturePath Herbal Clinic despite my skepticism, I decided to give their herbal treatment a try.To my surprise, after just six months, my blood tests came back negative for the virus.It was nothing short of life-changing.I never expected such incredible results from a natural treatment. But it not only cleared the virus it restored my hope, my health, and my peace of mind.If you or someone you know is battling Hepatitis B, I truly encourage you to explore the natural healing path offered by NaturePath Herbal Clinic. It gave me a second chance and it might do the same for you.www.naturepathherbalclinic.com info@naturepathherbalclinic.com