MEDizzy
MEDizzy
D
Dr.J.shanmugapriyaover 6 years ago
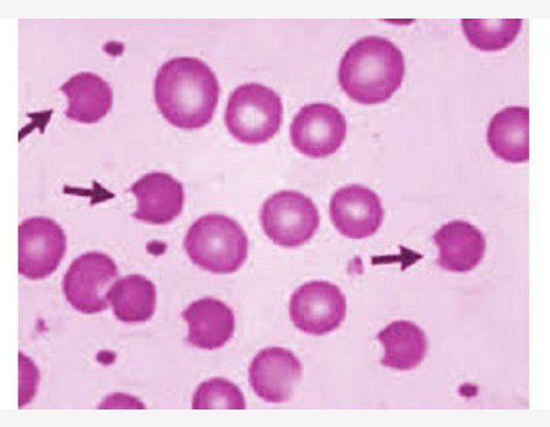
Identify cell? Seen in which condition??

Identify cell? Seen in which condition??

14
Other commentsSign in to post comments. You don't have an account? Sign up now!
over 6 years ago

These are bite cells

over 6 years ago

Degmacyte , seen in GPD6 deficiency

over 6 years ago

These are Degmacyte or bite cells - seen in G6PD deficiency

over 6 years ago

U r crt👏

over 6 years ago

Is it sickle cell anaemia??

over 6 years ago

These are devastated or bite cell-seen in G6PD deficiency

over 6 years ago

Pacman disease

over 6 years ago

These are devastated or bite cell- seen in G6PD deficiency

over 6 years ago

Helmet cells in hemolytic uremic syndrome

over 6 years ago

These are bite cells or degmacyte seen in G6PD deficiency

Recent MCQs

‌
‌

‌
‌

‌
‌

‌
‌

‌
‌
Show more MCQs

Recent flashcard sets

‌
‌

‌
‌

‌
‌

‌
‌

‌
‌
Show more flashcards