
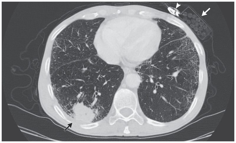
A 63-year-old man presented to the primary care clinic with a dry cough and a history of unintentional weight loss of 10 kg over the preceding 2 months. He was an active smoker, with a 30-pack-year history of tobacco smoking. Physical examination revealed decreased air entry in the base of the right lung. A chest radiograph showed opacity in the right lower lobe of the lung, and computed tomography of the chest performed after the administration of contrast material revealed a mass in the right lower lobe measuring 5.6 cm in its largest diameter (black arrow). Right hilar, carinal, and paratracheal lymphadenopathy was also present (not shown), and destruction of the posterior portion of the right seventh and eighth ribs was observed. A pack of cigarettes (white arrow) and a lighter (arrowhead) that were in his breast pocket were noted on the scan. Findings on bronchoscopy and biopsy confirmed a diagnosis of squamous-cell carcinoma, and staging evaluation indicated stage IV disease. Cigarette smoking is the leading risk factor for lung cancer. The patient was treated with palliative chemotherapy and radiation. He died 1 year after diagnosis.
Early diagnosis was the only way to survive more then one year.