
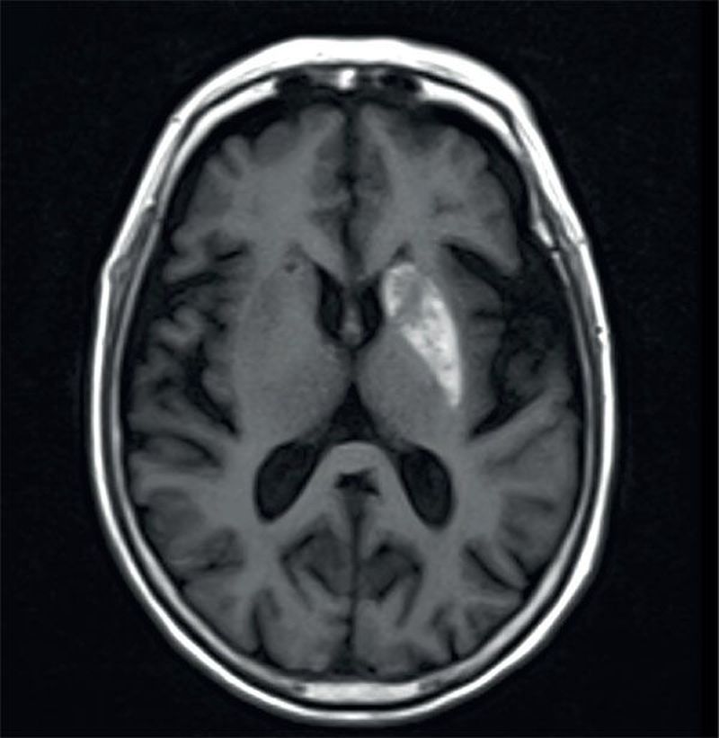
A 62-year-old woman had a 4-week history of sudden onset of involuntary hemichoreiform. She had been diagnosed with type 2 diabetes 10 years earlier and her blood glucose had been poorly controlled. Based on the MRIs, what is the most likely diagnosis? a)Intracranial tumour b)Ischaemic cerebral infarction c)Demyelinating disease d)Diabetic hemichorea