
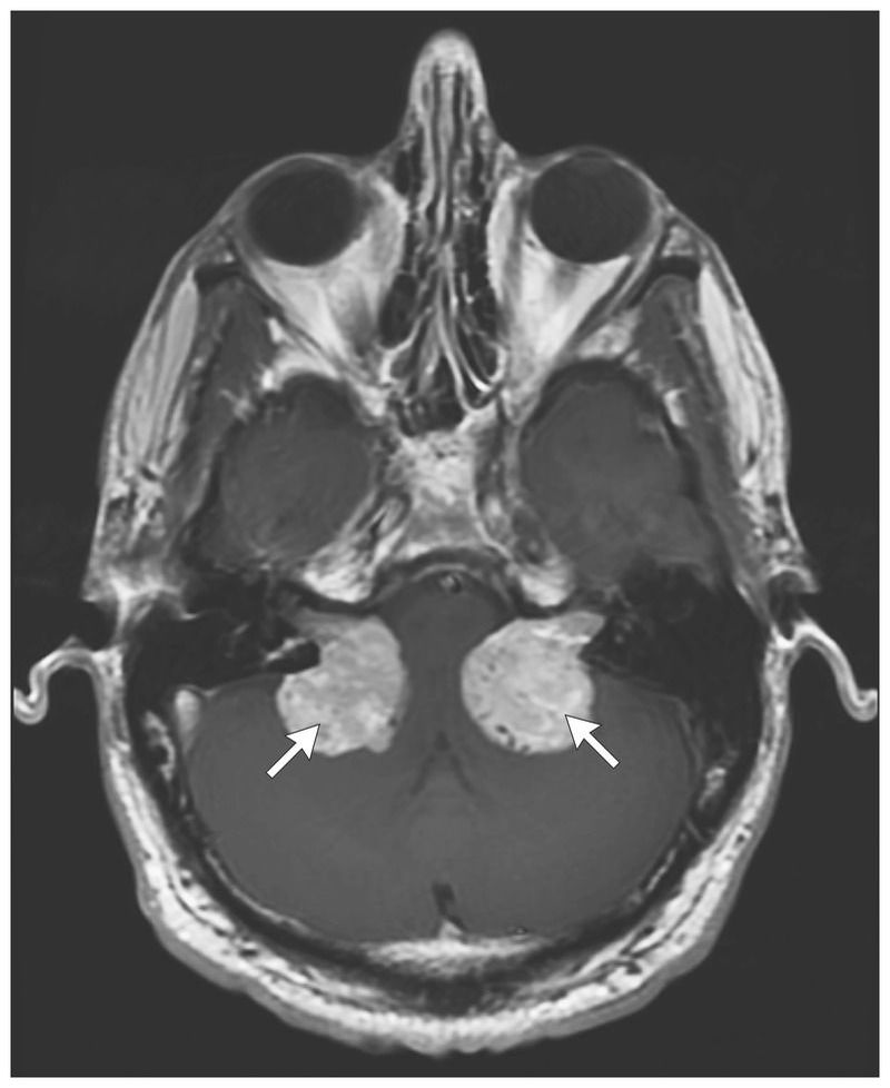
A 32-year-old man presented to the neurosurgery clinic with mild balance difficulties and hearing loss in the left ear. He had a family history of neurofibromatosis type 2 and a diagnosis of tumors in the right and left internal acoustic canals. He had not previously had symptoms related to the tumors (e.g., hearing loss or imbalance) and had been undergoing surveillance imaging of the brain since he was 16 years of age. Evaluation of the patient’s hearing revealed profound sensorineural loss on the left side and normal hearing on the right side. Magnetic resonance imaging of the brain performed after the administration of contrast material revealed tumors in both internal acoustic canals (33 by 26 by 31 mm on the left side and 32 by 28 by 30 mm on the right side), with extension in the cerebellopontine angles, and severe brain-stem compression. Bilateral vestibular schwannomas are a hallmark of neurofibromatosis type 2. In affected persons, there may be development of schwannomas on other cranial and peripheral nerves, meningiomas, ependymomas, and astrocytomas. Patients may have a parent affected with neurofibromatosis type 2, which is caused by mutations in NF2. These abnormalities are inherited in an autosomal-dominant manner, although de novo mutations may also occur. In this patient, left subtotal resection and stereotactic radiosurgical treatment of the left tumor were performed. Within 5 years and 11 months after initial presentation, the profound hearing loss in the left ear persisted, but the difficulties with balance had resolved. The patient continues to have annual hearing tests and MRI of the brain and has had no new symptoms at follow-up.