
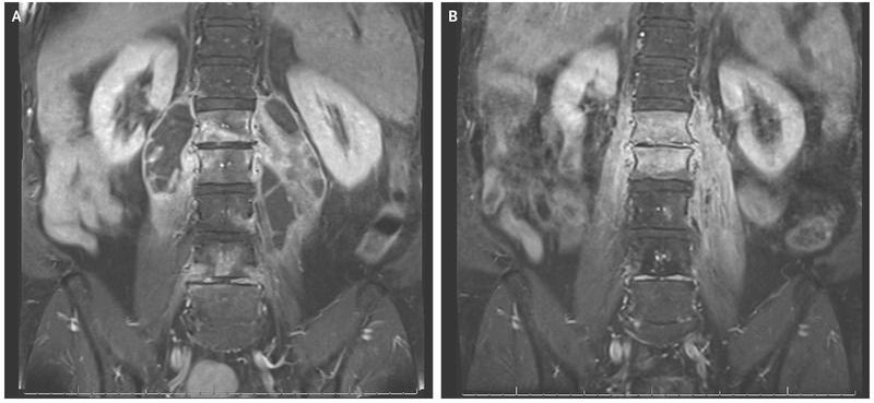
A 62-year-old man presented to the emergency department with a 6-month history of worsening low back pain, fevers, chills, night sweats, and weight loss. He regularly traveled to Mexico and had occasionally consumed unprocessed dairy products. He had no history of tuberculosis infection or known exposure. Laboratory studies revealed a white-cell count of 10,600 per cubic millimeter (reference range, 3700 to 10,500) and an erythrocyte sedimentation rate of 65 mm per hour (reference range, 0 to 15). Magnetic resonance imaging (MRI) of the lumbar spine with the use of gadolinium enhancement revealed findings consistent with spondylitis of the first through fifth lumbar vertebrae, as well as large psoas abscesses with multiple loculations (Panel A). Cultures from the blood and a psoas abscess grew Brucella melitensis; a mycobacterial culture was negative. B. melitensis is transmitted to humans from goats and sheep, typically through the consumption of unpasteurized dairy products in countries where this bacterium is endemic. A drain was placed, and the patient was treated with doxycycline with rifampin for 5 months. A repeat MRI scan obtained 3 months after the completion of treatment showed reduction of the psoas abscesses but continued enhancement of the first and second lumbar vertebrae (Panel B). The patient’s fever, night sweats, and low back pain resolved, the levels of inflammatory markers declined, and he remained symptom-free at follow-up 2 years later.
seen similar case just before 3days.. but Patient came from Saudi Arabia.. And we cured✌🏻