
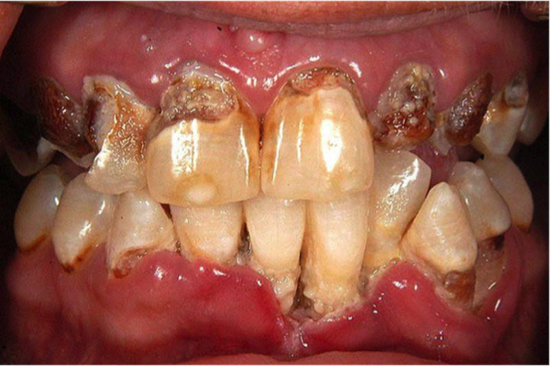
Trench mouth is also known as Acute Necrotizing Ulcerative Gingivitis, or simply A-NUG. Acute usually means painful and sudden onset. Necrotizing means necrotic or dying tissue. Ulcerative means painful ulcers. Gingivitis means inflamed or infected gums. It is usually accompanied by halitosis or bad breath, a foul taste and profuse bleeding of the gums, along with a grayish film on top of those gums. Often there is lymph node enlargement and tenderness in the nodes of the neck. Trench mouth is sometimes called Vincent’s Infection and bleeding gums are associated with this condition. It has a very rapid onset and is debilitating, but if properly managed, it usually resolves rather quickly with no seriously harmful effects.
Trench mouth is a severe gum infection caused by a buildup of bacteria in the mouth. It’s characterized by painful, bleeding gums and ulcers in the gums.
ANUG is an obsolete term, the diagnosis would be necrotizing periodontitis with a differential diagnosis of necrotizing stomatitis. Malnutrition and immunodeficiency are also involved. It is a very painful condition and must be treated with metronidazole and amoxicillin along with periodontal debridement and nutritional counseling.