
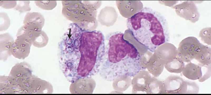
A 30-year-old man with human immunodeficiency virus (HIV) infection presented to the emergency department with a 2-week history of fever, bloody diarrhea, and generalized weakness. He had discontinued antiretroviral therapy 3 months before presentation and then had spent 2 months in French Guiana. On physical examination, the patient was febrile, pale, and cachectic. Laboratory findings showed pancytopenia, a CD4+ cell count of 6 per cubic millimeter, and a C-reactive protein level of 239 mg per liter (reference range, 0 to 5). Giemsa staining of a peripheral-blood sample revealed numerous myeloid cells containing intracytoplasmic yeast-like forms (arrow), a finding consistent with Histoplasma capsulatum. Disseminated histoplasmosis is an opportunistic infection; when it occurs in patients with HIV infection, it is typically seen in those with a CD4+ cell count of less than 150 per cubic millimeter. The patient was started on liposomal amphotericin B. His hospital course was complicated by hematemesis, and he died from complications of gastrointestinal hemorrhage. The diagnosis of disseminated histoplasmosis was confirmed with a positive result for H. capsulatum in peripheral blood and bone marrow aspirate on polymerase-chain-reaction analysis.
Living with HIV was one of the hardest experiences of my life. The fatigue, the emotional toll, and the uncertainty about the future weighed on me every single day. I had tried many treatments and medications, but nothing seemed to restore my health or energy the way I hoped.Out of both hope and desperation, I came across NaturePath Herbal Clinic. At first, I was skeptical but something about their natural approach and the powerful stories I read gave me the courage to try one more time.I began their herbal treatment program, and within a few weeks, I noticed small but meaningful changes more energy, better sleep, and a stronger immune system. Over the months, those improvements only grew. Today, I can truly say my life has changed. I feel healthier, more balanced, and finally in control of my well-being again.This isn’t just a testimony it’s a heartfelt recommendation to anyone living with HIV or any chronic condition. Don’t give up hope. I’m so grateful I gave NaturePath Herbal Clinic a chance. Visit their website to learn more: www.naturepathherbalclinic.com Email: info@naturepathherbalclinic.com