MEDizzy
MEDizzy
Dr. Komal Agarwal
Dr. Komal Agarwalalmost 8 years ago
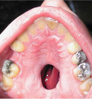
A side effect of cocaine use!

A side effect of cocaine use!

34
Top rated comment
almost 8 years ago

Cocaine is a helluva drug...lol

Other commentsSign in to post comments. You don't have an account? Sign up now!
almost 8 years ago

How it happened?

over 7 years ago

Palatal tumor may be kapposi sarcom . I don't know but I'm sure it need to take first biopsy and then will see it

Recent MCQs















Show more MCQs

Recent flashcard sets















Show more flashcards